, 09:04
Ангиодистония сосудов головного мозга – это патологическое состояние, при котором нарушается тонус сосудов и нормальное кровообращение в тканях головного мозга. В этой статье вы сможете прочитать про её причины, механизмы и симптомы, при которых пора бить тревогу. А также про грозные осложнения этого коварного заболевания и про современный подход к решению этой проблемы, доступный каждому.
Ангиодистония сосудов головного мозга влияет на работоспособность всего организма. Из-за неадекватного кровоснабжения мозга, снижается общая работоспособность, появляется слабость, а важные системы организма начинают работать со сбоями.
К начальным симптомам церебральной ангиодистонии относятся:
Гормональные сбои в организме.
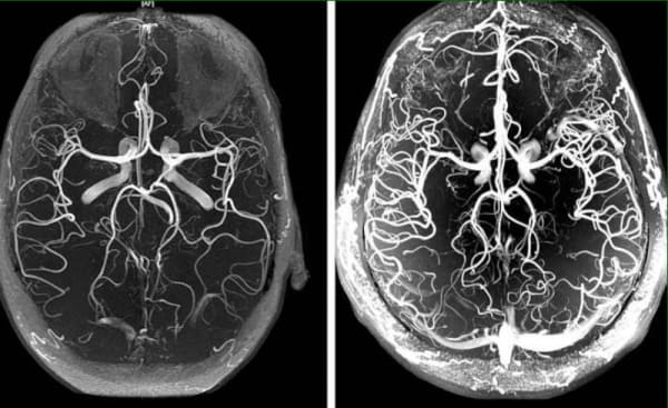
В основе восстановления кровообращения сосудов головного мозга лежит очищение сосудов всего организма от накопленных загрязнений. Холестериновых бляшек, тромбов и кальциевой извести.
Восстановление кровообращения и чистка сосудов это комплексный процесс. Он затрагивает все сосуды организма и во много раз улучшает качество жизни.
Узнайте как очистить свои сосуды, избавиться от сотни "хронических" заболеваний и обрести дополнительные 20 лет здоровой жизни в этом подробном интервью.
На эти вопросы нам ответил заведующий кафедрой сосудистой хирургии головного мозга Военно-медицинской академии им. Кирова, профессор, практикующий нейрохирург, заслуженный врач России, Рошаль Леонид Михайлович.
Рошаль Леонид Михайлович считается одним из лучших нейрохирургов мира. Он автор уникальных хирургических техник, которые используются во всём мире.
Леонид Михайлович убеждён, что среднюю продолжительность жизни в России можно увеличить до 89-93 лет, как в развитых странах. Если начать массово объяснять гражданам важность чистки сосудов после 40 лет.
– Леонид Михайлович, на какие симптомы стоит обратить внимание в первую очередь?
– На начальном этапе ангиодистония сосудов головного мозга проявляется слабо. Большинство не обращает внимания на симптомы, а сами симптомы то появляются, то исчезают.
Первые признаки нарушения мозгового кровообращения:
С ухудшением состояния сосудов развиваются постоянные хронические заболевания:
Несмотря на то, что это не "острое" заболевание, ухудшение кровообращения головного мозга очень коварно. В конечном счёте оно рано или поздно приводит к инсульту, но до этого годами истязает человека, медленно убивая жизненно важные функции органов и вызывая целый букет различных заболеваний.
Все эти заболевания – следствия. Следствия атеросклероза сосудов, их загрязнения холестериновыми бляшками и тромбами. Но буквально единицы наших граждан уделяют внимание чистке сосудов, продолжая годами страдать и пить бесполезные таблетки от своих хронических болячек.

– Да, к сожалению, наши граждане никак не информированы о важности чистки сосудов.
– И это не их вина. О чём можно говорить, когда 99 из 100 врачей России знать не знают о нутрицевтиках и о необходимости их назначения для чистки сосудов.
В развитых странах: США, Канаде, Японии, Европе уже 11 лет законодательно закреплено предоставлять нутрицевтики раз в 4 года каждому гражданину после 40 лет. Где-то 0, где-то за счёт страховой. Но это поставлено на государственный контроль.
– Что будет, если игнорировать симптомы «загрязнения» сосудов и заниматься лечением только явных заболеваний?
- Заболевания будут только прогрессировать, не смотря ни на какую медикаментозную терапию. Да, их можно «приглушить» таблетками, можно обратиться к хирургам, но причина то никуда не денется.
И чем больше загрязнений копится в сосудах, тем тяжелее будут последствия. При загрязнении сосудов головного мозга средней-среднетяжелой степени чаще всего случается инсульт и полная или частичная парализация.
– Правда ли, что от сосудорасширяющих средств больше вреда, чем пользы?
– Да. Сосудорасширяющие препараты хороши для экстренного применения. Частый их приём создаёт огромную нагрузку на стенки сосудов.
Несчастные сосуды и так страдают от накопившихся «слоёв» холестерина, которые разъедают стенки эпителия, делают их тоньше. А сосудорасширяющие средства растягивают сосуды, создавая перенапряжение стенок. Если в такой момент сосуд не выдержит и лопнет, то случится инсульт.
По этому я крайне осторожно советую принимать сосудорасширяющие препараты и только в крайних случаях.
– Почему при нарушении кровообращения мозга, женщины часто набирают вес, мужчины теряют «силу» и приобретают простатит, а суставы и позвоночник начинают разрушаться?
– Когда сосуды головного мозга «забиваются» бляшками, то он получает меньше питательных веществ. Каждый год после 40 лет головной мозг получает на 5% меньше питательных веществ.
Получается, что к 50 годам питание мозга ухудшается на половину.
Что делает мозг, когда не получает достаточно питательных веществ?
1. Он думает, что мы голодаем и заставляет нас есть.
Но сколько бы вы не ели, загрязненные сосуды все-равно не пропускают достаточно питательных веществ к мозгу. А девать их куда-то надо. И организм оставляет их прозапас – откладывает в жир.
2. В «голодном» режиме мозг думает, что мы умираем, поэтому отключает «ненужные» для выживания организма функции.
Функция размножения голодному мозгу не нужна, поэтому функция потенции и либидо снижаются. Уменьшается выработка мужского гормона тестостерона. Это в свою очередь провоцирует увеличение простаты и развитию простатита.
Функция восстановления очень энергозатратна и мозг «отключает» её до лучших времён. Перестают обновляться ткани суставов: хрящи, кости, уменьшается выработка синовиальной жидкости (суставной смазки). Возникают боли в суставах, остеохондроз, артрит.
– Можно ли самостоятельно очистить сосуды и восстановить кровообращение?
– Да. Сделать это не сложно, но от вас требуются терпение и дисциплина. Но это того стоит и окупится многократно.
В НМИЦ Сосудистой хирургии и кардиологии было разработано уникальное средство – «Артерол». Специалисты института создали средство, не имеющее сегодня аналогов. Артерол абсолютно безопасен, не имеет побочных эффектов и его можно принимать без контроля врача.
Артерол очищает сосуды от всех видов отложений:

За 1,5 месяца приёма
Артерола кровообращение восстанавливается на 99,71%.
Кровообращение
восстанавливается системно – во всех сосудах, артериях и капиллярах.
Артерол это «ноу-хау», гордость наших учёных. Он обеспечивает почти 100% очищение сосудов благодаря экстрактам: гуавы, плодов брусники, листьев гинкго билобы, плодов фенхеля, корней цикория, которые проникают в холестериновые бляшки и растворяют их изнутри.
Очищая сосуды, Артерол восстанавливает нормальное питание головного мозга. Запускается цепная реакция восстановления организма.
– Артерол действует в 3 этапа:
1. Выводит отложения из сосудов
Растворяет атеросклеротические бляшки, кровяные тромбы и кальциевую известь. Увеличивает просвет сосудов до 99,71% от нормы и восстанавливает кровообращение.
2. Устраняет последствия плохого кровообращения
Проходят полностью или существенно облегчаются такие заболевания как: гипертония, головные боли, варикоз, тромбоз, геморрой, простатит. Исчезают шум в ушах, головокружения, отёки, улучшается острота зрения и ясность мышления. Нормализуется вес и жировой обмен.
3. Увеличивает прочность и эластичность стенок сосудов
Это препятствует образованию новых бляшек и в 11 раз снижает риск инсульта.
– Как часто и как долго нужно принимать Артерол?
– 1 раз в 5-7 лет, начиная с 40 лет для мужчин и с 45 лет для женщин. Длительность курса 1,5 месяца, при сильно выраженных симптомах нарушений кровообращения 2 месяца.
Важно! В результате исследований было установлено, что и - лучшее время для начала восстановления. Благодаря стабилизации средней температуры ускоряются обменные процессы в организме, эффект от применения средства усиливается. ВОССТАНОВЛЕНИЕ происходит на 37% быстрее, чем в другое время года
– Артерол, на сколько нам известно, пропал из большинства аптек? Почему? И как теперь его получить?
– К сожалению, да. С начала этого года Артерол больше не поставляется в аптеки.
Причиной конфликта стала жадность аптечных сетей, которые потребовали от производителя Артерола платить им с каждой проданной единицы средства огромную комиссию! Накручивая на цену производителя и без того огромную наценку (стоимость курса Артерола в некоторых аптеках страны доходила до тысячи долларов(!)), аптекари захотели ввести дополнительный сбор с производителя.
Представители аптек оправдываются – они заявили, что такая наценка позволяет им выживать. Ведь Артерол - это средство, которое покупают 1 раз в 5‑7 лет. И кроме этого, после чистки сосудов Артеролом человек перестаёт нуждаться в препаратах, которые принимал постоянно! Люди отказываются от средств для понижения давления, перестают покупать средства от боли в суставах. Существенно снижают потребление препаратов от астмы и диабета. А это приводит к убыткам аптек. Поэтому они требуют устанавливать максимально высокую цену на Артерол.
В результате производитель средства Артерол разорвал контракты со всеми аптеками и перешел на распространение только через интернет. В принципе это правильно. По судите сами: за аренду торговых мест платить не надо, взятки аптекам, чтобы в них попасть платить не надо. Поэтому Артерол сейчас гораздо доступнее, чем когда продавался в аптеках.
Наш институт совместно с Национальным медицинским исследовательским центром сердечно-сосудистой хирургии и производителем Артерола в рамках проекта телемедицины (интернет-медицины) запустили льготную программу.
В рамках программы мы разыгрываем скидки на средство (розыгрыш будет в конце статьи). Получить скидку может каждый наш читатель, однако воспользоваться скидкой могут лишь те, кому Артерол действительно необходим. Самое приятное то, что скидки достигают 100%, это значит, что самые удачливые ваши читатели смогут получить средство Бесплатно по акции!
– Кто может воспользоваться льготной программой?
– Чтобы получить Артерол по льготной программе (ЛП) нужно подходить по одному из условий:
Кто может получить Артерол по льготной программе скидок:
– Как долго будет действовать льготная программа?
– Акция проходит до включительно. На каждый этап выделяется 30000 упаковок. И они полностью заканчиваются за 3-4 недели. И это при том, что нет никакой рекламы по ТВ и радио. Люди передают друг другу информацию, советуют друзьям и родственникам. Даже для нас стало неожиданностью, что информация об Артероле будет так быстро распространяться.
Поэтому, если вам повезло и вы успеваете до указанной даты, я рекомендую принять участие в розыгрыше, и получить Артерол как можно скорее!
Важно! Был сделан вывод, что и - лучшее время для избавления от гипертонии. Благодаря стабилизации средней температуры ускоряется обмен веществ, усиливается циркуляция крови в организме, увеличивается приток крови и кислорода во внутренние органы, в том числе, органы зрения и эффект от использования средства возрастает. Избавление от гипертонии происходит на 67% быстрее, чем это происходило бы в другое время года.
ВНИМАНИЕ: В рамках акции от дистрибьютора, «Артерол» можно получить со скидкой от 25% до 100%. Для этого нужно открыть матрёшку и выиграть свою скидку, заполнить форму заказа, размещенную ниже, до (включительно). Количество акционных товаров ограничено!
%
%
%
Вы можете получить Артерол 0 по акции.
OK
Комментарии:
Там отличные условия от производителя действуют, торопитесь!
Через официальную форму заказа оставляла заявку очень быстро перезвонили и заказ подтвердили. Хочется наконец-то жить спокойно, и наслаждаться пешими прогулками)
И остерегайтесь, пожалуйста, подделок.
УЧАСТВОВАТЬ В РОЗЫГРЫШЕ
2025. Все права защищены.